Bus 5A, lige til hoveddøren
(klik for at se ruteplan)
Vi arbejder med tryghed og æstetik som de mest bærende parametre

Majbritt
Tandlæge, klinikejer

Formål
Rette skæve tænder med næsten usynlige skinner
Resultat
Lige tænder og et harmonisk smil
Behandlingstid
6–18 måneder afhængigt af behov
Bedøvelse
Ikke nødvendig
Tandretning handler ikke kun om æstetik – det forbedrer også funktion, sundhed og komfort. Skæve tænder kan påvirke tyggefunktion, slid, mundhygiejne og i nogle tilfælde kæbeled og livsstil.
Med Invisalign kan tænderne rettes diskret og effektivt ved hjælp af næsten gennemsigtige, aftagelige skinner, der gradvist flytter tænderne på plads.
Behandlingen starter med en grundig analyse af bid og tandstilling, hvorefter vi skræddersyr en plan, der tager højde for både funktion, udseende og dine ønsker.
Tandretning er ikke kun for børn og unge – mange voksne vælger Invisalign for både sundhed og æstetik. Behandlingen varer typisk 6-12 måneder, afhængigt af kompleksitet.
Du er velkommen til at bestille en gratis forundersøgelse hos Tandlægerne Nørrebrogade og høre mere om dine muligheder med Invisalign
Hos Tandlægerne Nørrebrogade holder vi os altid opdateret på de nyeste teknikker og materialer gennem kurser i ind- og udland.
Ved tandeftersyn udleverer vi altid overslag på behandlinger, og du kan altid spørge ind til priser. Betaling sker efter hver behandling, og vi accepterer de fleste kreditkort. Vi tilbyder også fleksibel finansiering gennem Sundhed+.
Husk at melde afbud senest dagen før din tid, så vi kan tilbyde pladsen til andre. Ved udeblivelse eller for sent afbud opkræves et gebyr på 312,- pr. 30 minutter, jf. overenskomsten med Sygesikringen.
Se vores fulde behandlingstilbud i menuen
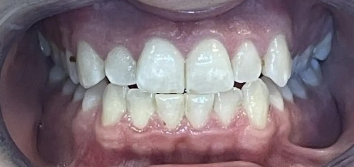
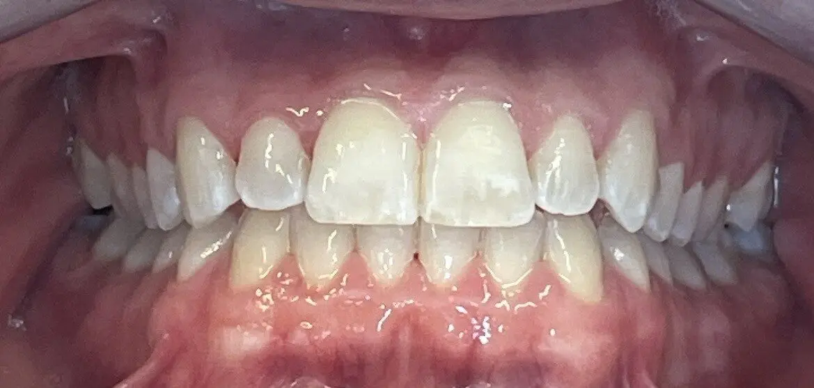
Se her eksempler på før og efter fra behandlinger fra os



Majbritt
Tandlæge, klinikejer

Find svar på de spørgsmål du sidder inde med.

Majbritt
Tandlæge, klinikejer
Du kan tage kontakt til vores reception, ringe eller søge online. Vi hjælper dig med at starte ansøgningen hos Sundhed+ og vejleder om de muligheder, der passer bedst til din behandling og økonomi.
Som ved alle finansieringsløsninger kan ansøgning gennem Sundhed+ medføre en kreditvurdering. Sundhed+ informerer dig klart om dette under ansøgningen.
De fleste patienter kan benytte Sundhed+, men det afhænger af kreditvurdering. Sundhed+ giver tydelig information om lånevilkår og betingelser, så du ved, hvad du kan forvente, inden du starter.
Ansøgningen foregår online gennem Sundhed+. Du får hurtigt svar på din ansøgning, typisk inden for få minutter, og processen kræver kun få oplysninger om dig og din behandling.
Alle behandlinger kan finansieres, herunder Invisalign, tandblegning, kroner, broer og snorkeskinner. Det giver dig mulighed for at få de behandlinger, du har brug for, uden at betale hele beløbet på én gang.
Sundhed+ er en finansieringspartner, som tilbyder fleksible lån til sundhedsrelaterede behandlinger. Hos Tandlægerne Nørrebrogade kan du bruge Sundhed+ til at betale for dine tandbehandlinger i overskuelige rater.
Åben kommunikation med tandlægen, planlægning af korte og overskuelige behandlinger, samt mentale forberedelser som vejrtrækningsteknikker, kan reducere angst. At vælge en tandlæge med erfaring i tandlægeskræk øger trygheden betydeligt.
Erfaring og kommunikation er afgørende. Hos Tandlægerne Nørrebrogade tilbyder vi:
Langvarig undgåelse af tandlægebesøg kan føre til karies, tandkødssygdomme og større behov for omfattende behandlinger senere. Det kan også påvirke selvtillid og livskvalitet, især hvis æstetik eller funktion forringes.
Udover tidligere smertefulde oplevelser kan genetiske faktorer, generel angst eller traumatiske oplevelser med medicinske procedurer bidrage. Også frygt for sprøjter, lyde fra bor eller følelsen af kontroltab er almindelige udløsere.
Undersøgelser viser, at op mod en fjerdedel af befolkningen oplever nogen grad af tandlægeskræk, mens omkring 5-10 % undgår tandlægebesøg helt.
